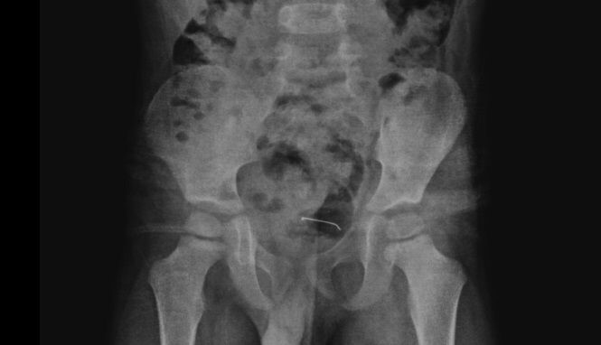
Daha önce farklı sağlık kuruluşlarına başvuran ancak kesin bir sonuç alamayan aile, çocuklarının karın ağrısı şikayetinin artması üzerine Tatvan Devlet Hastanesi Çocuk Cerrahisi Polikliniğine başvurdu. Yapılan röntgen incelemelerinde, mesane duvarında metal bir cisim olduğu tespit edildi.

Uzun süre vücutta kalan 3 santimetrelik toplu iğnenin mesane duvarına yapıştığı belirlendi. Ailenin bilgilendirilmesinin ardından Tatvan Devlet Hastanesi Çocuk Cerrahi Uzmanı Op. Dr. Tahsin Onat Kamçı tarafından gerçekleştirilen operasyonla, toplu iğne başarılı bir şekilde çıkarıldı. Ameliyat sonrası birkaç gün gözlem altında tutulan çocuk, tekrar kontrole gelmek üzere taburcu edildi.

Hastanın kontrollerinde, yuttuğu cismin doğal yollarla vücuttan çıkmadığını tespit ettiklerini anlatan Kamçı, "Bunun üzerine ameliyat kararı aldık. Ameliyatta cismin mesane duvarına yapıştığını gördük. Cerrahi operasyonla 3 santimetre civarındaki toplu iğneyi çıkardık. Hastayı birkaç gün takipte tuttuk. Genel sağlık durumu iyi olan hastamızı taburcu ettik" diye konuştu.

Bazı cisimlerin doğal yollarla vücuttan atılabildiğini belirten Kamçı, "Kesici ve delici cisimler çok tehlikeli. Bu gibi cisimlerin çocukların ulaşabileceği yerlere bırakılmaması gerekiyor" dedi.





